Etichetă: thomas csinta-jurnalul bucurestiului
Centrul de Drepturile Omului (CDE) – prelegerea susținută de judecătorul Latif...
Economic and commercial mission of La Francophonie in Central and Eastern Europe
Jurnalul Bucureștiului. On line Newspaper publishing almost everything to be well informed. That’s our main...
Ultima zi de septembrie – Ziua Internațională a Traducerilor – de...
https://www.youtube.com/watch?v=LTJXCG2xxLg
Pete de culoarea brânduşelor de toamnă încep să picure pe mantaua gri a cerului …M-am trezit cu capul pierdut în nori, acolo unde ieri...
Plagiatul în lumea contemporană (Plagiatul, boala copilăriei epigoniei. Responsabilitatea morală,...
Prin definiție, exploatarea neautorizată a unei opere literare, științifice sau artistice, precum și a unei mărci de fabricație, a unui brevet de invenție sau în general a unei creațîi spirituale sau materiale, de orice natură a ar fi ea (cu scopul realizării unui profit!), care posedă un autor sau mai mulți autori, fără acordul acestuia sau al acestora, se numește „contrafacere" sau „imitație". Ea este considerată o activitate frauduloasă de natură contravențională sau infractională din partea celor care o comit, deci este sancționată de lege. Atât de către Codul Civil, cât și de către Codul Penal. Cert, în contextul actual al unei mondializări, mai mult decât, agresive, în care informația circulă necontrolată (în virtutea libertății de exprimare) și cu o viteză uriașă de propagare, plagiatul este imposibil de stopat sau de eradicat. Există însă un set de măsuri generale care ar putea contribui esențial la monitorizarea și menținerea lui în anumite limite „decente", pentru a face din acesta un flagel de tip marginal, ca din multe alte fenomene specifice societății de consum (evaziunea fiscală, publicitatea mincinoasă, dezinformarea, vânzarea și cumpărarea de tip „fake” pe internet, etc.).
Astfel, în România, unde în mediul universitar, plagiatul a devenit un „sport national” învățământul superior și cercetarea ar trebui reorganizate pe niște criterii care să permită separarea cadrelor universitare, în două grupuri (submulțimi) disjuncte: cadre didactice (cu o vocație, predominantă, didactică) si de cercetare (cu o vocație, predominantă, de cercetare), pentru a nu-i obliga pe cei cu vocație didactică predominantă să scrie și să publice articole stiintifice și cărți, de care aceștia nu sunt capabili.
Pentru că modelul de enseignant–chercheur (research professor) din țările occidentale, cu o normă de cca ¼ activitate didactică și restul de ¾ activitate de cercetare (în Franța), se pare că instituțiile de invățământ superior românești nu este funcțional, nici măcar în cazul în care cele două activități ale cadrului didactic universitar se „înjumătățesc” (adică, ½ din timp activitate didactică și ½ din timp activitate de cercetare). În felul acesta, cei cu vocație de cercetători ar face mai multă cercetare (cu activitate didactică redusă, doar, în ciclul doctoral–sub formă de cursuri de cercetare), iar cei cu vocație de „dascăli” ar face mai multe ore de curs (în ciclurile de licență și mater–în care, cercetarea este, în general, practic, limitată sau marginală).
Acest model ar exclude, cadrelor didactice universitare din România, care nu au vocație de cercetare să presteze „servicii” didactice (adică, cursuri) în alte instituții de învătământ superior (publice sau mai ales, private), în calitate de „profesor (cadru didactic) asociat” („cu plata la oră”) în timpul programului afectat cercetării sau să presteze un alt „job” full-time într-o instituție privată (sau în unele cazuri și publice).
În momentul da față, în majoritatea țărilor europene, cadrele didactice universitare (și în special gradele superioare – conferențiar și profesor) îndeplinesc un dublu rol, așa cum acest lucru este bine pus în evidență prin statutul lor (în Franța): enseignant–chercheur (conferențiar și profesor), adică formator pe de o parte și cercetător pe de altă parte sau assistant research professor și research professor (în majoritatea țărilor anglo–saxone).
Expresia de EC („Enseignant–Chercheur”) apare în Franța, pentru prima dată (într-un text oficial) în Legea din 26 ianuarie 1984 – Legea Sovary, după numele ministrului educației naționale mitterrandist, Alain Savary (1918–1988, în funcție între 1981-1984), prin intermediul art.55, 56 și 57, iar statutul ascestuia este reglementat prin decretul n084-431 din 6 iunie 1984.
Pe baza art.L952-2 din Codul Educației, acesta, deși, este un funcționar (public) are partricularitatea de a fi independent în activitatea sa lucrativă (profesională), adică, în privința prelegerilor (cursurilor, seminariilor) pe care le ține, respectiv, în privința cercetărilor pe care le inițiază, evident, conform unei programe de studii, într-un ciclu de pregătire (1, 2 sau 3), în cadrul unei instituțîi de învățământ superior public sau privat (conform art.43 al Legii de Orientare al Învățământului superior n068-978 din 12 noiembrie 1968).
În ceea ce privește misiunea acestuia, art.3 din decretul n084-431 (având la baza art.55 din Legea 84-52), precizează că un enseignat–chercheur, în calitatea sa de funcționar, trebuie să desfăsoară o activitate lucrativă cu un volum de 1.607h anual (conform art.7 din Legea 84-52), din care, activitatea sa didactică se compune (conform art.4), de manieră disjunctă, fie din 128h de curs, fie din 192h de seminar, fie din 288h de lucrări practice de laborator (cu ultimele două, „flexibilizate”–adică, „ușor” variabile, conform unui alt decret din 23 aprilie 2009) sau dintr-o combinație ponderată a acestora, 1h00 de curs (seminar, laborator) fiind echivalata cu 4,2h din acctivitatea pe care o desfăsoara un salariat în funcția publică (în care intră, pregătirea cursului, corectarea lucrărilor, supravegherea examenelor, etc.).
În ceea ce priveste restul activității, deținătorul titlului de „enseignant–chercheur” (research professor), este consacrat (destinat) cercetării științifice, difuzării culturii, respectiv, a informației tehnico–științifice, cooperării internaționale (prin intermediul programelor de colaborare, conferințelor, congreselor, colocviilor, seminariilor științifice, etc.) și participarea la conducerea unor instituții de învățământ superior sau subunități ale acestora (catedră, departament, facultate sau mai nou UFR– Unitate de Învățământ și Cercetare din cadrul unei universități, respectiv, subunități de învățământ și cercetare, dependente de o instituție de învățământ superior).
Crearea titlului de enseignant–chercheur are la baza ideea că acest tip de cadru didactic universitar, în principiu, are propriul său curs (liber), original (într-un domeniu), bazat pe propriile sale tehnici și metode pedagogice, precum și pe rezultatele sale științifice. Din contră, în primul ciclu universitar francez (în cei 3 ani de Licență: L1, L2, L3), în care volumul de ore este mare, pentru a face față orelor „neacoperite” de către cadrele didactice universitare de tip EC (Enseignant–Chercheur), de MIES (Moniteur d'Initiation à l'Enseignement Supérieur, conform decretului 89-794, echivalentul unui preparator și asistent universitar doctorand–aflat în posesia unei ALR –Alocație de Cercetare, cu o activitate didactică de maximum 96h/an de seminar sau lucrări practice de laborator), respectiv, de ATER (Attaché Temporaire d'Enseignement et de Recherche, conform decretului n°88-654 din 7 mai 1988, cel care au obținut deja titlul de doctor și a fost admis pe listele de calificare de enseignant–chercheur/conferențiar sau profesor, dar nu este înca titularizat, cu cel puțîn 64h de curs/an, 96h de seminar/an și 144h de lucrări practice de laborator/an) și pentru a nu le compromite activitatea lor de cercetare, MENC (Ministerul Educației Naționale și al Cercetării), face, sistematic, titularizarea (pe baza de concurs național: scris și oral) a unor profesori din învatamântul mediu (preuniversitar), cca 14.000 (în activitate, în prezent), de tip PRCE/Pr. Ce (Professeurs Cértifiés–profesori titulari în școală generală și în liceu, aflați, în posesia unui Certificat d’Aptitude au Professorat de l’Enseignement du Second degré–cu cca 6.000 de titulari) și PRAG/Pr. Ag (Professeurs Agrégés–aflați în posesia unei diplome de Agrégation–cel mai prestigios concurs național în învatamântul secundar și post–bac francez de scurtă durata de 2/3 ani, de tip Prépa, respectiv, STS, IUT și Licență–învățământ universitar, acceptat pentru titlul de conferențiar în loc de doctorat, fără echivelent în învățământul românesc, cu cca 8.000 de titulari, reprezentând puțin peste 18% din totalul cadrelor didactice universitare). Atât PRAG cât și PRCE, dispun de 384h de curs anual.
Dacă prima categorie poate dirija atât seminarii sau lucrări de laborator cât și cursuri magistrale (în locul un conferențiar–cu care este și asimilat în materie de predare), în ciclurile superioare ale Licenței (L2–L3), cea de a 2-a categorie este implicată, în special, în activități desfășurate în L1, dar în cazuri mai rare, aceasta poate fi implicată și în conducerea de seminarii și lucrări de laborator în L2.
În concluzie, conform principiului „Mincinosul este victima celui care îl obligă să mintă, de frică să nu audă adevărul", foarte probabil că dacă universitarii români n-ar fi obligăți să scrie lucrări cu caracter științific pentru a-și justifica activitătile lor de cercetare, sigur, ar plagia mult mai puțin, și sigur, și-ar face datoria mult mai conștincios .Și în plus, ar stăpâni mai bine tematicile, respectiv, problematicile abordate de către sudenții lor în diplomele, memoriile și tezele lor până în Doctorat (D1-D3), via Licență (L1-L3) și Master (M1-M2), care în Franta sunt, încă de la început, împărțite în două opțiuni separate: Licență de Cercetare (care continuă în Master de Cercetare) și Licență Profesională (cu finalitate pentru ciclul 1), respectiv, Master de cercetare (care continuă în Doctorat) și Master Profesional (cu finalitate pentru ciclul 2). Pentru că este de neconceput, ca un profesor–director de cercetare (conducător de doctorat în Franța) să dirijeze o temă cercetare pe care să n-o stapâneasca, fie pentru că îi propune studentul, fie pentru că n-are niciun fel de studii si cercetări efectuate în acel domenmiu, iar acesta este obligat să facă apel la diferite programe de anti-plagiat pentru a-i putea confirma sau infirma veridicitatea și valoarea lucrării.
Fără să mai adăugăm și faptul că lucrările de sfârșit de ciclu (L3, M2, M3) sunt susținute în fața unor comisii de specialitate, iar tezele de doctorat au și raportori (referenți) externi, specialiști (recunoscuți), în domeniul abordat (care face obiectul memoriului). Și atunci, ne punem întrebarea: cum este posibil ca un student (indiferent de ciclul în care studiază) să plagieze? Sau, de ce să fie mai mult vinovat el, decât directorul său de teză (conducătorul de diplomă, de teză de masterat sau de doctorat, etc., în România) sau membrii comisiei (juriului), respectiv, raportorii (referenții) lucrării, care acceptă acordarea acestuia, a titlurilor universitare sau academice?
Situația este oarecum, asemănătoare, și în cazul publicării cărților. În principiu, editurile care publică lucrări (articole, reviste, cărți, etc.), cel puțin teoretic, dispun de controlori și referenți științifici, în urma deciziei cărora, lucrările dobândesc dreptul de publicare (BT–bun de tipar) cu numărul de ISSN (pentru reviste) sau ISBN (pentru cărți) asociat acestora si cu descrierea CIP a Bibliotecii Nationale din România. Și iarăși, atunci cum este posibil ca o carte să fie un plagiat, dacă el primește din partea editurii validarea BT, cu atât mai mult cu cât ea este, în majoritatea cazurilor, prefațată și de către o personalitate (recunoscută) în domeniu ? Fie pentru că controlorii și referenții nu există, fie că aceștia nu-și fac treaba corect sau sunt incopetenti, deci ar trebui înlocuiți cu personal corespunzător care să-și asume răspunderea pentru publicarea lucrărilor.
În sfârșit, o altă măsură contra plagiatului numeric (contra copy-paste) ar fi securizarea tuturor site-urilor profesionale cu programe „anti-copy-paste” care să nu permită furtul documentelor, ceea ce este deja funcțional chiar și pe o serie de site-uri ale prestigioaselor cotidiene occidentale.
În încheiere, merită să subliniez aici si faptul că, în cazul unei lucrări publicate (articol, carte, etc.) există, ca și în cazul unei crime comanditate: cel care comite „crima", adică autorul (autorii) lucrării și cel (cei) care o verifică această (direct, indirect, sub o formă sau altă), adică, „comanditarul” (comanditarii).
Mi se pare absolut normal, ca în cazul plagiatului, să nu fie responsabilizați, nu numai autorul (autorii) lucrării dar și cei însărcinati cu verificarea acesteia (directorul/conducătorul, membrii comisiei și referenții științifici), la fel ca și în cazul crimei comandidate, pentru că în realizarea unei teze de doctorat (sau în scrierea unei cărți), în contextul social–istoric în care trăim astăzi, în caz de plagiat, este vorba de o „crimă organizată”
Pentru a evita aceste situații, în școlile doctorale franceze, temele de cercetare (de doctorat) sunt propuse de către enseigants–chercheurs (conferențiari și profesori– directori de cercerare, în general în cadrul CNRS–Centrul Național de Cercetare Științifică), o instituție publică „centralizată” (la nivel național), din temele pe care aceștia le studiază („cercetează”) și despre care „scriu” (adică, publică articole, cărți, etc.) și ca urmare le cunosc (și le stăpânesc) foarte bine. Spre deosebire de școlile doctorale din România, în care profesorii sau conferențiarii abilitați să dirijeze („conducă”) cercetare științifică pot acepta și „propunerile” studenților lor, fără a avea realizări (cercetări, publicații cu caracter științific) în domeniul în care urmează desfășurarea studiilor doctorale.
Există și în Franța excepții, în cazul în care studentul din ciclul 3 (doctorandul) – aproape în exclusivitate, cadru didactic sau cercetător într-o instituție universitară sau de cercetare cu caracter academic) alege ca temă un subiect pe care îî propune spre soluționare (cercetare) o firmă (întreprindere, companie, etc.) în care acesta și-a desfășurat stagiile cu caracter lucrativ în timpul studenției (în ciclurile inferioare – L și/sau M). Într-o asemenea situație însă, el nu se va adresa profesorilor săi din instituția universitară absolvită (care, într-o mare majoritate de cazuri nu are profesori specializați în domeniul respectiv), dar unor cabinete de consultanță și cercetări private de tip R&D, care dispun de specialiștii (enseignant–chercheur/reasearch professor) de înalt nivel academic și vastă experiență în toate domeniile de vârf (mai ales „neconvenționale”), capabili să-i dirijeze activitatea și teza de doctorat, în urma unui acord bilateral între acesta din urmă (cabinetul de consultanță și cercetări) și firma interesată, care va și sponsoriza (subvenționa) cercetarea întreprinsă (inclusiv, realizarea tezei de doctorat) asupra căreia va avea, exclusiv, drepturi depline.
Liberalizarea promovării exportului românesc, un obiectiv confuz și anacronic (Corespondență de...
Termenul de liberalizare a promovării exportului, care stă pe frontispiciul proiectului de act normativ, care se vrea emblematic pentru export este un termen nemaiîntâlnit...
In memoriam Napoléon Bonaparte. Comemorarea morții lui Napoléon I cu două...
Economic and commercial mission of La Francophonie in Central and Eastern Europe
Jurnalul Bucureștiului. On line Newspaper publishing almost everything to be well informed. That’s our main...
Cca 67% dintre români sunt dispuși să se vaccineze, dacă angajatorul...
Cca 53% dintre angajați spun că nu se vor simți în siguranță la locul de muncă până când nu se vor vaccina și...
Muzeul Național al Satului „Dimitrie Gusti”: 85 de ani –„Muzeul și...
Jurnalul Bucureştiului („Le Petit Parisien”) şi Intell News Romania (al căror Senior Editor sunt) recomandă toate evenimentele organizate de Muzeul National al Satului „Dimitrie...
Delta din Carpaţi, paradisul păsărilor
Cum arată delta din Carpaţi, paradisul păsărilor. Este vorba despre zona Dumbrăviţa–Măgura Codlei–Rotbav, fiind cunoscută și ca „Delta din Carpaţi”, ce adăposteşte peste...
Protejat: Brabantul în haos și sub teroare. Pe urmele ucigașilor (asasinilor)...
Dosarul criminal Lecrenier (1997) reprezintă un cvadruplu asasinat și un dublu viol, comise cu sânge rece, cu un pistol Colt 45 și o arbaletă (armă din Evul Mediu constând dintr-un arc montat pe un suport pentru aruncare de săgeți sau proiectile- dotată cu un pat cu încărcător precum cel al puștilor, un mecanism de blocare pentru menținerea corzii la elongație maximă și un trăgaci pentru eliberarea corzii) pe 7 iulie 1997 de către Rémy Lecrenier (în vârstă de 28 de ani) la Bas-Oha (secțiune a orașului Wanze din provincia Liège, regiunea fancofonă Valonia), condamnat de către Curtea cu Jurați a provinciei Liège, pe 7 decembrie 1999, la închisoare pe viață (asimilabil, în practică, cu 30 de ani de recluziune criminală). Cele 4 victime sunt membri ai aceleași familii, Tellier.
Dosarul criminal Lecrenier va fi succedat, de unul, cu totul de altă natură, care nu este specific (caracteristic), în general, țărilor occidentale democratice. Este vorba de Dosarul criminal Adamu (1998) în care o tânără refugiată din Nigeria, Sémira Adamu (n.1978, solicitantă de azil politic în Belgia), va deceda la Bruxelles (provincia Brabantul flamand) pe 22 septembrie 1998, după ce jandarmii belgieni însărcinați cu expulzarea ei de pe teritoriul național, o vor sufoca, neintenționat.Adică, fără intenția de o ucide! Evenimentul are loc pe acelasi aeroport național Bruxelles–Zaventem, pe care, pe 22 martie 2016, are loc cel mai sângeros atac terorist islamist din istoria Belgiei – constând din 2 atentate sinucigașe, în care, în afară de cei 2 teroriști islamiști (Najim Laachraoui și Ibrahim El Bakraoui), vor muri și alte 14 persoane, aflate în incinta aroportului. [A se vedea pentru detalii lucrarea autorului Subiect de teză de doctorat. Graful (socio–matematic) al Metagalaxiei eurojihadiste. Mujahedinii...].
Notă. „Centrele închise” belgiene sunt destinate, fie strănilor aflați în situație administrativă ilegală pe solul (teritoriul) belgian, fie tinerilor delincvenți. Cele destinate persoanelor aflate în situație administrativă ilegală sunt gestionate de către DGOE (Direcția Generală a Oficiului pentru Străini), de la Bruxelles (World Trade Center Bruxelles), un serviciu federal (cu un efectiv de cca 1.700 de persoane), dependent de Serviciul Public federal al Internelor (Ministerul de Interne) însărcinat cu controlul populației imigrante (cca 1 milion de persoane), care colaborează cu o serie de alte instanțe (ambasade, consulate, administrații comunale, serviciile federale de poliție, inspecția socială, parchetele, etc.). Ancheta deschisă în acest dosar criminal de excepție va avea ca efect inculparea celor 9 jandarmi care au gestionat (practic), executarea procedurii de expulzare forțată, fără ca ministerul federal de interne sau conducerea clinicii universitare Saint-Luc să fi fost implicate. Dintre cei 9 jandarmi inculpați, inițial, 5, considerați vinovați pentru moartea ei, vor fi trimiși de către Camera Consiliului de la Bruxelles, pe 26 martie 2002, în fața Tribunalului Corecțional, care în verdictul său anunțat pe 23 decembrie (în urma procesului debutat pe 12 decembrie), va achita unul dintre ei, iar pe ceilalți 4 îi va considera responsabili, dar numai pentru „aplicarea unor lovituri care au antrenat moartea, neintenționat”. Ca urmare, ei au fost condamnați la pedepse cuprinse între 12–14 luni cu suspendare și la plata unei amenzi de 500 € (fiecare), în timp ce statul belgian, responsabilitatea căruia ar fi fost, oarecum (?!), angajată, a fost amendat cu 20.000€”. Evenimente dramatice, asemănătoare, legate de expulzări forțate („îndepărtare de teritoriul național”) au avut loc, aproape în toate țările occidentale considerate democratice, inclusiv, în Franța. [A se vedea pentru detalii lucrările autorului Fără milă, fără sentimente, cu sânge rece, în slujba Republicii Francez (Corespondență din Franța), „Asediul”! „Blestemul pământului, blestemul iubirii”. Pământul „sacru”. Moarte pe Mana (Corespondență din Guyana franceză), Fără sentimente!, Democrația în pericol!, „No mercy"! , „Cei 7 magnifici" ai Companiei a 7-a !]. Dacă până în 1993 modalitățile de repatriere au fost gestionate de către serviciul Office des Etrangers/Oficiul Strănilor (din 02.08.1977), iar intervenția jandarmilor avea loc numai în cazul unor incidente (mai mult sau mai puțin grave), iar Louis Tobback (în 1993) a anulat utilizarea „tehnicii (metodei) pernelor”, ea va fi reintrodusă în 1996 de către Johan Vande Lanotte (n.1955, membru al partidului socialist flamand și profesor de drept la Universitatea din Gand/Gent, vice-prim-ministru federal al Internelor între 1995–1998, ulterior, vice prim-ministru al Bugetului între 1999–2005 și al Economiei între 2011–2014) cu mențiunea ca starea de sănătate a expulzatului să fie verificată cu severitate în fiecare moment, iar pentru eventuale incidente, responsabilitatea revine, integral, celui responsabil cu aplicarea dispozitivului. Acordul (pentru expulzări de pe teritoriul național belgian) cu compania națională de aviație Sabena a fost semnat pe 24 iulie 1998, adică, cu aproape două luni înainte de expulzarea lui Sémira Adamu, în care este prevăzută, deasemenea, escorta jandarmilor, dar numai în cazuri grave. Oare, Semira, putea fi considerat un „caz grav”? Naționaliștii, extremiștii, rasiștii, etc., spun că da, pentru că a făcut, deja, obiectul a 5 expulzări eșuate. Membrii Consiliului de Sprijin, contestă acest lucru, iar eu sunt convins, că indiferent de pozițiile adoptate de către cei menționați, ar fi existat, cu siguranță, alte mijloace și dispozitive socio–umane care să fi permis expulzarea lui Sémira Adamu fără ca viața ei să fi fost pusă în pericol. În sfârșit, conform purtătorului de cuvânt al Oficiului Străinilor, Dominique Ernould, în anul care a precedat pandemia Covid–19, în Belgia, 4.651 de persoane ar fi fost supuse (expuse) expulzării de pe teritoriul național, dintre care numai cca 20% ar fi creat probleme, motiv pentru ar fi fost necesară escortarea lor la avion.
Notă. Faptul că lucrurile nu prea s-au schimbat în cele peste două decenii care au trecut de la moartea lui Sémira Adamu rezultă dintr-un eveniment asemănător petrecut, recent, pe Brussels South Charleroi Airport–Aeroportul din Charleroi (oraș francofon din regiunea Valonia fondat pe cursul râului Sambre, în perioada Țărilor de Jos spaniole, în secolul al XVII-lea). Aici, pe 23 februarie 2018, cetățeanului slovac Jozef Chovanec (în vârstă de 38 de ani), venit la Bruxelles în interes de serviciu, i s-a impus coborârea dintr-un avion al companiei Czech Airlines în direcția Bratislava (unde îl aștepta soția sa Henrieta Chovancová împreună cu fiica lor Lucia), datorită comportamentului său recalcitrant și agresiv, după ce a îmbrâncit o însoțitoare de bord. Ceea ce el ar fi refuzat! Ca urmare, Pilotul–comandant refuză și el, la rândul sâu, să decoleze (cu acesta, la bordul aeronavei) și solicită intervenția poliției federale aeroportuare, care, până la urmă, în ciuda unui scandal monstruos, inclusiv, pe sol, va fi stăpânit, interpelat (arestat) și încarcerat într-o celulă din localurile poliției federale de la Bruxelles. Aici, conform unei înregistrări video (de supraveghere), pe 24 februarie, la ora 04h20 acesta își pierde controlul și cu o violență rară (ieșită din comun), începe să-și lovească capul de poarta metalică (blindată) a celulei sale. În urma intervenției a 6 polițiști, la ora 04h31, pentru a-l calma, acesta va fi victima unui stop cardio–respirator, după ce, unul dintre polițiști îi apasă pieptul cu genunchii cca 16 minute (timpul în care îi și pune cătușele), iar altul lângă acesta, întors către ceilalți, râzând, îi salută, victorios, în stil nazist (Heil Hitler).
Dosarul criminal (franco–belgian) „Violatorul de la Sambre” (1996–2018), în care Dino Scala (n.1961, originar din Pont-sur-Sambre–de lângă Maubeuge, agent de întreținere în cadrul unei ăntreprinderi din Jeumont, serviabil, „respectabil tată de familie”), în ultimele 3 decenii ar fi comis 44 de violuri și agresiuni sexuale în localitățile din jurul fluviului Sambre (Sambe, Samber, cu o lungime de cca 190km) care izvorăște în Franța, trece apoi în Belgia, până la vărsarea sa în Meuse, la Namur (Nameur, Namen, Naemen, oraș francofon, situat la confluența fluviilor Sambre și Meuse, capitala Valoniei și reședință a provinciei cu același nume, aflat la 60 km sud de Bruxelles). Confluența Meusei cu Sambre se cheamă Grognon, cuvânt ce în limba valonă înseamnă „rât”. După ce era inculpat, deja, într-un dosar de agresiuni sexuale și viol cu 19 victime și încarcerat în detenție provizorie din 28 februarie 2018, Dino Scala recunoaște între 20–21 iunie, în fața judecătorului de instrucție, încă 25 de violuri comise în valea fluviului Sambre, între 1988–2018.
Notă. A nu se confunda diagnosticul de „dublă personalitate” cu cel de „dededublarea personalității” (DID–Dissociative identity disorder, o tulburare a unității conștiinței de sine care se caracterizează prin apariția în alternanță, a unei prime personalități și a uneia sau mai multe personalități secundare la același subiect) descrisă de Alfred Binet (1857–1911) în cartea sa (Le dédoublement de la personnalité et l'amnésie périodique), care intervine pe fondul unor tulburări psihice, iar adesea persoana suferindă trăiește cu convingerea că este o altă persoană (în majoritatea cazurilor, cunoscută ca o celebritate sau un personaj religios). În sfârșit, ancheta în acest dosar este în derulare și n-ar fi exclus ca numărul victimelor să crească până la judecarea acestuia. Merită să menționez aici și o serie de dosare criminale franceze cu caracter sexual, care ridicat serioase probleme pentru soluționarea lor în acest secol (mileniu). În 2000, pentru 15 infracțiuni sexuale (violuri sau agresiuni sexuale), respectiv, pentru două temntative de asasinat cu barbarie, comise între 1992–1995 Alain Viallet (în vârstă de 39 de ani) este condamnat la Grenoble (regiunea administrativă Auvergne–Rhône–Alpes) de către Curtea cu Jurați a departamentului Isère, la 19 ani de recluziune criminală. În 2002, pentru 20 de infracțiuni sexuale (violuri, agresiuni sexuale sau tentative de agresiuni sexuale) asupra unor tinere fete sau femei, sub amenințarea cu armă albă (cuțitul), Didier Edom (care ar fi acționat „sub efectul impulsiunilor sale”) este condamnat la Paris (de către Curtea cu Jurați Paris) la 16 ani de recluziune criminală. În 2005, Roland Cazaux („Le chat”, violator recidivist, în vârstă de 47 de ani), pentru 34 de infracțiuni sexuale (violuri și tentative de violuri) comise asupra unor femei, în timpul somnului, între 1985–2002 în regiunea administrativă Nouvelle-Aquitaine, în cartierele rezidențiale Arcachon, de la Teste (departamentul Gironde) și Hossegor (departamentul Landes), interpelat pe 20 februarie 2002, este condamnat la Bordeaux (de către Curtea cu Jurați a departamentului Gironde) în cadrul unui proces care debuteazaă pe 28 noiembrie 2005, într-un verdict anunțat pe 16 decembrie 2005, la 14 ani de recluziune criminală și la 15 ani de tratament socio – judiar după eliberarea lui, timp de 15 ani.
În continuare, anul 2006 va fi un an cu mai multe dosare criminale de (mare) anvergură, care vor cuprinde o mare majoritate a teritoriului belgian și bulversa atât societatea civilă cât și justiția belgiană. Este vorba de dosarul criminal Joe Van Holsbeeck (Bruxelles), dosarele criminale Hans Van Themsche și Guido Demoor (Anvers), respectiv, dosarul criminal Abdallah Ait Oud (Liège) și Clottemans (Limburg).
Toate, diferite, deosebit de interesante, atât ca tematică criminlală cât și ca, context social – istoric, în care au loc.
Acestea sunt urmate de Dosarul criminal de infanticid Lhermite (Brabantul Valon, 2007–2010), dosarul criminal de familicid Storme (Bruxelles, 2007), respectiv, cel de pruncucidere de la Termonde (flandra Orientală/de Est, 2009) confirmă cele menționate mai sus. Etc.
Protejat: Brabantul în haos și sub teroare. Pe urmele ucigașilor (asasinilor)...
În căutarea adevărului istoric, în celebrul dosar criminal, neelucidat, al bandei din Nivelles (Brabant), am avut ocazia să studiez o serie de (alte) dosare criminale, de mare anvergură, care îl succed pe acesta, dintre care unele au fost soluționate, iar altele nu. Și care, ca de altfel, ca și dosarul Cools sau Brabant, așteptă soluții, motiv pentru care Ministerul Justiției a decis prelungirea prescrierii acestora cu un deceniu. În vasta mea lucrare de aici (cca 100 de pagini), prezint cu detalii, pe baza unui sistem axiomatic logico - deuctiv, carențele unui sistem judiciar inchizitorial belgian moștenit de la Napoleon (via Franța), aflat în pragul unui colaps cronic. Dosarul criminal „Marc și Cori(n)ne” (1992), în care cuplul de îndrăgostiți format din Marc Kistemann (în vîrstă de 21 de ani) și Cori(n)ne Malmendier (în vârstă de 17 ani), iar, ulterior, Lucien Schmitz (în vârstă de 36 de ani–ucis cu 13 lovituri de cuțit, soția căruia, Marianne, este violată) sunt asasinați în cursul lunii iulie 1992, de către cei 2T (Thierry Muselle–în vârstă de 33 ans și Thierry Bourgard–în vârstă de 24 de ani), originari Plombières (comună francofonă din regiunea Valonia formată din localitățile Gemmenich, Hombourg, Montzen, Moresnet și Sippenaeken).
Cadavrele lor sunt descoperite pe 22 iulie 1992 în pădurea Lierneux (comună francofonă din regiunea Valonia, formată din localitățile Lierneux, Arbrefontaine, Bra, Trou de Bra, Grand Heid, Reharmont, Sur le Thiers, Derrière le Thiers, Les Villettes, Erria, Pont de Villettes, Florêt, La Chapelle, Odrimont, Jevigné, Verleumont, Hierlot, Petit-Sart și Grand-Sart).
Conform expertizei medico–legale, cuplul ar fi fost ucis pe 14 iulie.
Cei 2T (Thierry) ar mai fi comis și violuri (în regiune) în perioada 11–16 iulie.
Identificați, arestați (Muselle–pe 19 iulie, iar în proximitatea domicilului său, iar Bourgard în cursul zilei următoare) și încarcerați în detetenție provizorie pe 23 iulie 1992 și condamnați la moarte de către Juriul Popular (Curte cu Jurați) de la Liège, pe 18 decembrie 1995, Curtea de Casație va anula (casa) sentința (din cauza unor vicii de procedură), pe 9 mai 1996, ceea ce va genera un al 2-lea proces, care va debuta pe 18 noiembrie 1996, în fața Curții cu Jurați de la Arlon al provinciei Luxemburg (comună din regiunea Valonia, la frontiera cu Luxemburg, formată din localitățile Arlon, Autelbas, Bonnert, Guirsch, Heinsch și Toernich) și care, în verdictul său din 13 decembrie 1996 îi condamnă pe cei doi criminali Muselle și Bourgard la muncă silnică pe viată.
Merită de remarcat aici și fapul că înainte de a fi interpelați, cei 2 din urmă, erau recidiviști și ar mai fi fost condamnați și încarcerați, tot pentru viol și crimă, iar în luna iulie 1992, Thierry Muselle (condamnat la 10 ani de detenție criminală în 1984 pentru violul și asasinarea unei adolescente ăn vărsta de 16 ani) a fost în libertate condișionată sub control judiciar, iar Thierry Bourgard (condamnat la 10 ani de detenție criminală pentru viol și tortură) „în concediu penitenciar” (după 3 ani efectați din pedeapsă).
Bourgard și-a recunoscut faptele care i-au fost reproșate, mai puțin asaniarea cuplului Marc et Cori(n)ne.
Din contă, Muselle a negat orice implicare a sa în asanite și violuri.
Ca urmmare a acestor evenimente dramatice, tatăl lui Cori(n)ne, Jean-Pierre Malmendier (1949–2011, om politic belgian), membru al partidului MR (Mișcarea Reformatoare, de inspirație liberală, prezentă în Belgia francofonă), împreună cu tatăl lui Marc, François Kistemann, vor depune, pe 4 decembrie 1992, la Parlamentul belgian, o petiție (semnată de către 259.445 de persoane), pentru reformarea sistemului carceral și „severizarea” punerii în libertate a recidiviștilor în materie criminală, conmdamnați, în special, pentru crime sexuale și crime de sânge.
În ceea ce îi privește pe 2 criminali, detenția lui Thierry Muselle va fi prelungită de către TAP (Tribunalul de Aplicare si Amenajare a Pedepsei) de la Arlon, cu puțin timp înainte de acordarea libertății conditionate sub control judiciar acestuia (pe 20 aprilie 2010), după examinarea cererii de caătre Curtea Criminală pe 5 aprilie, ca urmare a unei tentative de asasinat (prin ștrangulare) în noaptea de 30–31 martie 2010 asupra unui deținut (cu care împărțea celula de numai 2 zile) în închisoarea Lantin, pentru care, pe 20 iulie 2011, el va fi condamnat la 20 de luni de închisoare, confirmat în Apel și pe 15 februarie 2012.
Conform investigațiilor mele, gestul lui Muselle este explcabil, pentru că în cei 18 ani de detenție (1992–2010) el ar fi stat singur în celula sa, pentru că ar fi refuztat, întotdeauna, un „colocatar”, iar această doleanță a lui ar fi fost până atunci, oarecum, respectată, cu toate că alte 4 tentative de acest gen, în trecut ar fi eșuat.
Mă întreb dacă n-ar fi fost un pretext, din partea autoritîților carcerale (administrației penitenciare), pentru a-i refuza eliberarea condiționată, asupra cărei urma să statueze TAB în luna aprile cu un aviz favorabil din partea celor care l-au examinat.
Este foarte probabil că rudele victimelor s-ar fi opus eliberării sale condiționate (care sunt consultate în asemenea situații), iar administrația penitenciarului ar fi găsit pretextul pentru a nu-l elibera.
Cu atăt mai mult cu cât Jean-Pierre Malmendier, tatăl lui Corin(n)e l-a și „vizitat” (întîlnit) pe acesta pentru a-i cere explicatii, cu puțin timp înainte de a muri din cauza unui stop cardio - respirator în 2011.
El își va tenta din nou norocul în 2013, dar din păcate, fără succes!
Până la urmă, moare, din cauze naturale, cel puțin oficial (datorită unei supradoze de heroină–conform surselor mele) în noaptea de 31 martie – 1 aprilie 2015 în închisoarea din Huy (oraș francofon din regiunea Valonia situat pe cursul fluviului Meuse, formată din localitățile Huy, Ben-Ahin, Tihange și Neuville-sous-Huy), la vârsta de 55 de ani, în timp ce Thierry Bourgard, încarcerat și el, pe 5 decembrie 2019.
În cursul lunii viitoare (augut 1992), vor debuta alte două dosare criminale belgiene sordide.
Dosarul criminal Patrick Derochette (1992), în care pe 5 august, o fetiță Loubna Benaïssa (în vărstâ de 9 ani), dispare fără urmă la Ixelles (una din cele 19 comune din Regiunea Capitalei Bruxelles situată în partea de sud-est a aglomerației Bruxelles, învecinându-se cu localitățile Bruxelles, Etterbeek, Forest, Auderghem, Uccle, Saint-Gilles și Watermael-Boitsfort).
Criminalul, care a și violat-o înainte de a o ucide și a-i ascunde corpul în pivnița stației de benzină–Service auto (a părinților săi) a fost identificat, tardiv (datorită indiferenței și a multor erori comise de către cei implicați în dosar), peste 4 ani și jumătate (cu ocazia investigațiilor dezlănțuite în dosarul pedocriminal Dutroux) pe 5 martie 1997, de către o celulă de anchetatori de la Neufchâteau, în persoana lui Patrick Derochette (în vârstă de 28 de ani, recidivist, condamnat, deja, în 1984, pentru infracțiuni sexuale), care lucra ca mecanic auto–pompist la benzinăria Q8 (împreună cu tatăl său) aflată la colțul străzii Wéry cu șoseaua Couronne din Ixelles. (A se vedea pentru dealii lucrările autorului Ce s-a întâmplat cu Estelle Mouzin? Dezvăluirile pedofilului–violator și serial...În exclusivitate absolută: Subiect de teză de doctorat. Crime sexuale. Dispariții misterioase. Nebuloasa...).
În ziua dramei, Loubna Benaïssa (de origine magrebină) și sora sa Nabela intră într-un magazin alimentar Aldi de pe Goffart din Ixelles (nu departe de domiciliul lor pe strada pentru a face niște cumpărături, dar, din păcate, uită să cumpere iaurt, motiv pentru care după revenirea acasă, mama lor o trimite pe Loubna înapoi după iaurt.
De atunci, ea n-a mai fost văzută niciodată.
Merită subliniat aici faptul că ancheta a fost neglijată (voit sau nu!) încă de la început, pentru că magistratul instructor (judecătorul de instrucție) pentru a demara ancheta nu a fost numit în dosar decât după 6 zile de la dispariția fetiței (care, practic, nu va trece la studiul dosarului decăt peste 16 zile) ori, după cum știm, primele zile în cazul unei dispariții sunt determinante.
Apoi, anchetatorii din Ixelles, în paralel cu pista lui Patrick Derochette s-ar mai fi risipt și în alte două piste (pe care nu le mai menționez pentru că au fost abandonate din lipsă de probe materiale), probail, pentru faptul că mecanicul auto–pompist, ar fi furnizat un alibi solid, afirmând că în timpul comiterii crimei, între orle 11h30 – 13h30 ar fi luatm masa de prânz cu fratele său.
Cadavrul victimei descoperit pe 5 martie 1997 în pivnița benzinăriei (demolată în 2001) a fost ascuns într-o cutie metalică, oarecum, întâmplător, cu ocazia unei vaste percheziții în dosarul Dutroux care va debuta în cursul lunii septembrie 1996.
Pe 8 martie 1997, o ceremonie funerară va fi organizată în memoria ei la marea moschee de la Bruxelles, de unde corpul ei va fi transportat în Maroc pentru a fi înmormântat la Tanger, de unde familia ei este originară
Arestat pe 7 martie 1997, Patrick Derochette (atunci în vârstă de 33 de ani) recunoaște „parțial” faptele care îi sunt reproșate, adică, numai violul comis asupta fetiței.
Cu această ocazie sunt descoperite și victimele lui Dutroux, în viață, Laetitia și Sabine, care vor fi eliberate, dar și cadavrele lui Julie și Melissa.
Ancheta va fi relutată de la început, după transferul dosarului de la Parchetul de la Bruxelles la cel din Neufchâteau, odată cu căutarea victimelor lui Duroux.
Atunci intră în vizorul anchetatorilor 2 bărbați, condamnați deja pentru viol asupra minorilor, care locuiau în zona magaziunului unde Loubna s-a întors pentru a cumpăra iaurt.
Unul dintre ei, un algerian (pe care nu-l nominalizăm pentru că a fost disculpat în dosar) era în Algeria atunci când evenimentul dramatic are loc, iar celălalt, Patrick Derochette, a declarat că ar fi luat masa de prânz cu fratele său, ceea ce, atunci, îl disculpă, cu toate că acesta a fost recunoscut vinovat într-un dosar criminal, dar „infracționalizat” (practică aplicată, în special în cazul „primarilor”–inculpați pentru prima oară), de atentat la pudoare în cazul a 2 băieți (cu vârstele de 9 și 13 ani) în perioada 1982–1984.
Pe 13 iunie 1984, ca urmare a unor expertize psihiatrice, conform deciziei TCB (Tribunalul Corecțional Bruxelles) Patrick Derochette este declarat iresponsabil penal, spitalizat, dar după 50 de zile, este „lăsat la vatră”, adică, să plece acasă!
Începând cu 4 martie 1999 (după o perioadă de observație în anexa psihiatrică a închisorii Forest) acesta va fi internat în QHS (Cartier de Maximă Securitate) al EDS (Eablissement de Défense Sociale) „Les Marroniers” de la Tournai (oraș francofon din regiunea Valonia), cu o capacitate de 350 de locuri, rezervat persoanelor cu probleme psihice grave (iresponsabili penali).
Notă. În Belgia, Legea Défense Sociale (Apărarea socială) din 1930, modificată prin legea din 1 iulie 1964 instituie două măsuri specifice (conform art.71 din Codul Penal Belgian) autorului atins (bolnav) de „demență” (o categorie largă de boli cerebrale care cauzează o scădere pe termen lung și adesea graduală a memoriei și a capacității de a gândi, având ca simptome problemele emoționale, dificultățile de comunicare, scăderea voinței și forma comună Boala Alzheimer–între 50% și 70 % din cazuri, demența vasculară–cca 25%, demența cu corpi Lewy–cca 15% și demență fronto-temporală–Boala Pick), „aflat, din punct de vedere juridico–medical, într-o stare gravă de dezechilibru mintal (sau de debilitate mintală) care nu-i permite acestuia să-și controleze acțiunile.”
Prima măsură constă în punerea sub observație a acestei personae într-o anexă psihiatrică a unei închisori, iar cea de-a doa măsură, plasarea lui, pe termen nelimitat, într-un EDS, conceput cu acest scop.
Conform unor investigații aprofundate, dintre cei 229 de pacienți internați (atunci), la EDS Tournai, cca 48,8% ar fi comis infracțiuni cu caracter sexual (viol, tentativă de viol, atentat la pudoare, exhibiționism, etc.) iar valoarea media a IQ a acestora ar fi fost 71,4, adică mult sub limita inferoară a mediei populației centrată pe 100 (în vecinătatea 80–120), conform curbei (clopotului) lui Gauss.
În plus, 33,2% din ei nu prezentau nuciun fel de trulburări psihice (psihiatrice), iar din restul (dintre cei cu tulburări psihice), cca 37,4% aveau simptome de tulburări psihotice (cu precădere, schizofrenie sau schizofrenie paranoidă), dar 26,8% nu prezentau nici măcar tulburări de personalitate (constatat la majoritatea persoanelor care suferă de tulburări psihotice), adică, cca ½ din totalul care erau diagnosticați cu această maladie (57,3%), iar 37,9% erau clasați persoane cu tulburări de personalitate antisociale. [A se vedea pentru detalii articolul autorului M’s („Mensanii”) lui Roland Berril!].
În sfârșit, Patrick Derochette moare (din cauze naturale) pe 14 decembrie 2016 (la vârsta de 52 de ani), după ce pe 14 iunie 2015, ca urmare a unei agresiuni fizice grave (care nu ar fi avut nicio legătură cu moartea lui Loubna Benaïssa), cu ocazia unei altercații, acesta intră într-o comă profundă la Clinica Notre-Dame de la Tournai, unde este transportat în regim de urgență.
Ca urmare a unor complicații, el va fi adus pe 14 decembrie, în jurul orei 22h00, la Serviciul de urgență al CHWP (Centre Hospitalier de Wallonie Picarde–Centrul Spitalicesc al Valoniei Picard), dar, puțin înainte de ora 23h00, el este victima unui stop cardio–respirator.
Dosarul criminal care urmează celor două (mai sus menționate) în vara anului 1992 („Marc et Cori(n)ne”, respectiv, „Loubna Benaïssa–Patrick Derochette”) este Dosarul criminal al „nebunului de la Mouscron” (oraș francofon din regiunea Valonia), în care criminalul Arnaud Degezelle (adolescent în abandon școlar, în vârstă de 17 ani, singuratic, „monstrul care nu si-a regretat niciodată actele sale criminale”), în ziua de 12 august 1992, la Mouscron, o rănește grav (în spate) cu un foc de armă (revolver de calibrul 7.65) pe Carine Moerman (în vârstă de 25 de ani), îl lucide pe stradă, pe 24 august, cu un glont în ceafă, pe David Matton (în vârstă de 16 ani), iar pe 11 septembrie, într-un imobil de pe strada Pèlerins, o rănește grav (cu un glont în zona lombară) pe Nathalie Vanbraekel (în vârstă de 19 ani) prin ușa camerei în care aceasta se ascundea împreună cu mama sa (Thérèse Pollet), după ce în noaptea de 9–10 septembrie, tentativa sa de asasinat contra lui Éric Delemme (în timp ce acesta penetra cu vehiculul său în garaj), eșuază.
Condamnat pe 25 noiembrie 1993 de către Juriul Popular (Curtea cu Jurați) a provinciei Hainaut la închisoare pe viață pentru un asasinat și 4 tentative de asasinat, Arnaud Degezelle („Fantomas”, „ucigașul nebun din Mouscron ”, atunci în vărstă de 18 ani), care își alegea victimele la întâmplare (și care ar fi recunoscut că dacă n-ar fi fost arestat la timp ar fi ucis mai multe persoane !), moare ca urmare a unui consum excesiv de droguri (supradosă–overdose de herionă), pe 8 decembrie 2012, în patul său, într-o celulă a închisorii din Andenne (oraș francofon în pregiunea Valonia, în provincia Hainaut, situat pe malul frluviului Meuse, formată din localitățile Andenne, Baronville, Coutisse, Landenne, Maizeret, Namêche, Sclayn, Seilles, Thon-Samson și Vezin–învecinându-se cu localitățile Fernelmont, Héron, Huy, Namur, Gesves și Ohey).
Conform investigațiilor mele, Arnaud Degezelle (care ar fi fost terifiant în timpul procesului și ar fi „râs în nas” magistraților și juraților–în timp ce mama sa ar fi izbucnit în plâns) ar fi fost înscris în 2010 (prin intermediul unui juriu de învățământ universitar al Comunității franceze) în anul doi la Departamentul (Facultatea) de Matematică a Universității Namur (la forma de învățământ „la distanță”), unde profesorii săi îl considerau „distant, rigid (autoritar) dar foarte implicat în cursurile sale”, iar, conform directorului departamentului Anne Lemaître, care l-a întâlnit de mai multe ori, „acest băiat nu era nici simpatic si nici agreabil”, iar trecutul său n-a avut, absolut, nicio legătură cu misiunea noastră de educație. În cadrul întrevedrilor noastre noi nu am abordat decât, strict, probleme legate de organizarea cursurilor ”.
Nici Marcel Rémon, vicerectorul (prorectotul) universității, care ar fi avut un rol important în admiterea lui (mai ales, pentru a-i da o șansă), care l-a întâlnit o singură dată afirma într-un proces verabal că „Aranaud era rezervat, tăcut și nu era ușor de comunicat cu el”.
Cu puțin timp înainte de decesul său (neprevăzut), acesta ar fi trimis o scrisoare lui Anne Lemaître (legat tot de cursurile sale), în care fîcea cunoscut acesteia că el nu mai suporta că era descurajat și sabotat în activitatea sa de studiu și că îi părea rău că, crează probleme universității.
Se pare că singurul lucru care l-ar fi deranjat (avîn în vederefaptul că ar fi recunoscut fără niciun fel de obiecții atât asasinatul cât și cele 4 tentative de asasinat) ar fi fost verdictul de „muncă silnică pe viață” (maximă, având în vedere vârsta sa fragedă–după o deliberare a juriului de numai ½ h) pronunțat de către Jean-Claude Lacroix, președintele juriului la proces (având ca avocat general pe Luc Van Ausloos) o expresie care îi părea depășită, în loc de care ar fi preferat-o, poate, pe cea modernă, de „închisoare pe viață”!
Mi s-a părut însă intersant schimbul de replici înainte de pronunțarea verdictului.
Întrebându-l Lacroix, „ce ați face, deci, în libertate ?”, Arnaud Degezelle (apărat de către avocatul Gérard Rivière) i-a răspuns, sec, acestuia: „cum nu este cazul, nu (mai) are niciun rost să vorbim…”
Din nou Lacroix: „Vă gândiți din când în când la David Matton (tânărul de 16 ani pe care l-a ucis)? Ce ați vrea să-i spuneți familiei acestuia?”
Din nou, răspunsul lui Arnaud este jalnic: „Ce ați vrea să-i spun?”
În sfârșit, până la debutul celebrului dosar criminal Dutroux (1995–1996), justiția belgiană va cunoaște alte două dosare criminale de mare anvergură, care au rămas, de-a lungul timpului, nesoluționate, ca de altfel și dosarele criminale „Asasinatele din Brabant” și „Asainarea lui Cools”. Este vorba de dosarul criminal „Decupastorul din Mons” (Hainaut, 1993 - 1998) și „Dispaiția lui Kim și Ken Heyrman” (Anvers, 1994) A se vedea pentru detalii articolul...
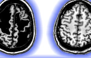
Paradoxul creierului lui Daniel Carr
Se spune de multe ori că ficatul este singurul organ care are capacitatea de a se regenera. Însă și creierul are o astfel de...
„Poporul meu, cârmuitorii tăi te duc în rătăcire, şi pustiesc...
Existenţa numeroaselor neajunsuri cu care se confruntă populația este cauzată și de pasivitatea oamenilor de bine care uită că „Lumea nu va fi distrusă...
Protejat: „Homo Novus”. Utopii la îndemână. CRS (Călătoria Spațială Relativistă),...
Notă. Paradoxul gemenilor este un experiment imaginar din TRR (Teoria Relativității Restrânse), în care o persoană care călătorește în spațiu cu o navă de mare viteză se întoarce acasă și își găsește fratele geamăn (identic) rămas pe Pământ mult mai bătrân decât el. Acest rezultat pare neașteptat, deoarece situația pare simetrică, întrucât fratele rămas pe Pământ poate fi considerat ca fiind și el în mișcare în raport cu celălalt. Contradicția aparentă este explicată în cadrul teoriei relativității.
Frânturi de viață….Partea I. (Corespondență de la Dr. Anna-Nora Rotaru-Papadimitriou, poet,...
Ah, tu, Copilărie, prin ce hățișuri te-ai ascuns,
Ce mult aș vrea, pe calea-ți iarăși să mă-ntorc...
Șuvoi trec anii, simt, că nu mi-ai fost 'ndeajuns,
Copil...
Uzul rațiunii (Corespondență de la Grid Modorcea, scriitor, Dr. în Arte)
Aș fi vrut să trăiesc pe vremea lui René Descartes, când rațiunea era rege. Dar azi, tot ce se întâmplă îmi jignește rațiunea. Nu...
Zeciuiala, „o datorie sacră”, stabilită în Biblie (Corespondență de la Conf....
Pentru o cât mai bună înţelegere a sensului, a conţinutului şi, în special, a „legii divine” prin care a fost stabilită „zeciuiala”, în baza...
Ziarul „Poliția Capitalei-955”. În serial. Selecție de articole (prof. univ. dr....
In memoriam Ziarul „Poliția Capitalei-955”. În serial. Selecție de articole (Thomas CSINTA – atașat de presă, Franța), Partea II. („Lista lui Schindler”, Medici teroriști, Centrul de modificare al comportamentului de la Tranquility Bay, Recluziune criminală cu viteza luminii)
Săracă ţărişoara mea, România! (II). Corespondenţă de la fostul deţinut politic,...
M-am născut aici, în România, în oraşul port la Marea Neagră, Constanţa, şi este ţara pe care nu am părăsit- o niciodată şi nici...
Paradoxul lui: „Dăunează grav sănătății”.
În urma directivei UE pe toate pachetele de țigări vândute în Europa a apărut inscripția cu „Dăunează grav sănătății". Oare doar țigările se încadrează...
Studiu de piață despre conservele de macrou în sos tomat
Studiul privind conservele de macrou în sos tomat face parte din Campania Națională de Informare și Educare: Hrana sănătoasă–o investiție pe termen lung în...
Protejat: „Allah(o)u Akbar” (الله أكبر). Partea V. Atacurile teroriste din Franţa...
„De cincizeci de ani, pe scena Europei Occidentale are loc un spectacol regizat cu calculată perversitate şi urmărit cu un voayerism sinucigaş, de o...
Protejat: „Allah(o)u Akbar” (الله أكبر). Partea IV. Valul de atentate teroriste...
„De cincizeci de ani, pe scena Europei Occidentale are loc un spectacol regizat cu calculată perversitate şi urmărit cu un voayerism sinucigaş, de o...
Protejat: „Allah(o)u Akbar” (الله أكبر). Partea II. Investigaţii aprofundate privind atacurile...
„De cincizeci de ani, pe scena Europei Occidentale are loc un spectacol regizat cu calculată perversitate şi urmărit cu un voayerism sinucigaş, de o...
Protejat: Rețele de proxenetism și prostituție românești pe teritoriul național (francez)....
Scriu acest articol, nu pentru a disculpa sau a apara pe cei vinovati, ci din deontologie jurnalistica, prin care pun in evidenta carentele (incoerentele,...



























